0197-24-5418 お電話でのご予約

治療例

当院で行った治療の一部をご紹介します。すべての症例写真は患者さんの同意のもとで掲載しています。

※ 治療効果には個人差があります。

歯周病治療

歯周病治療

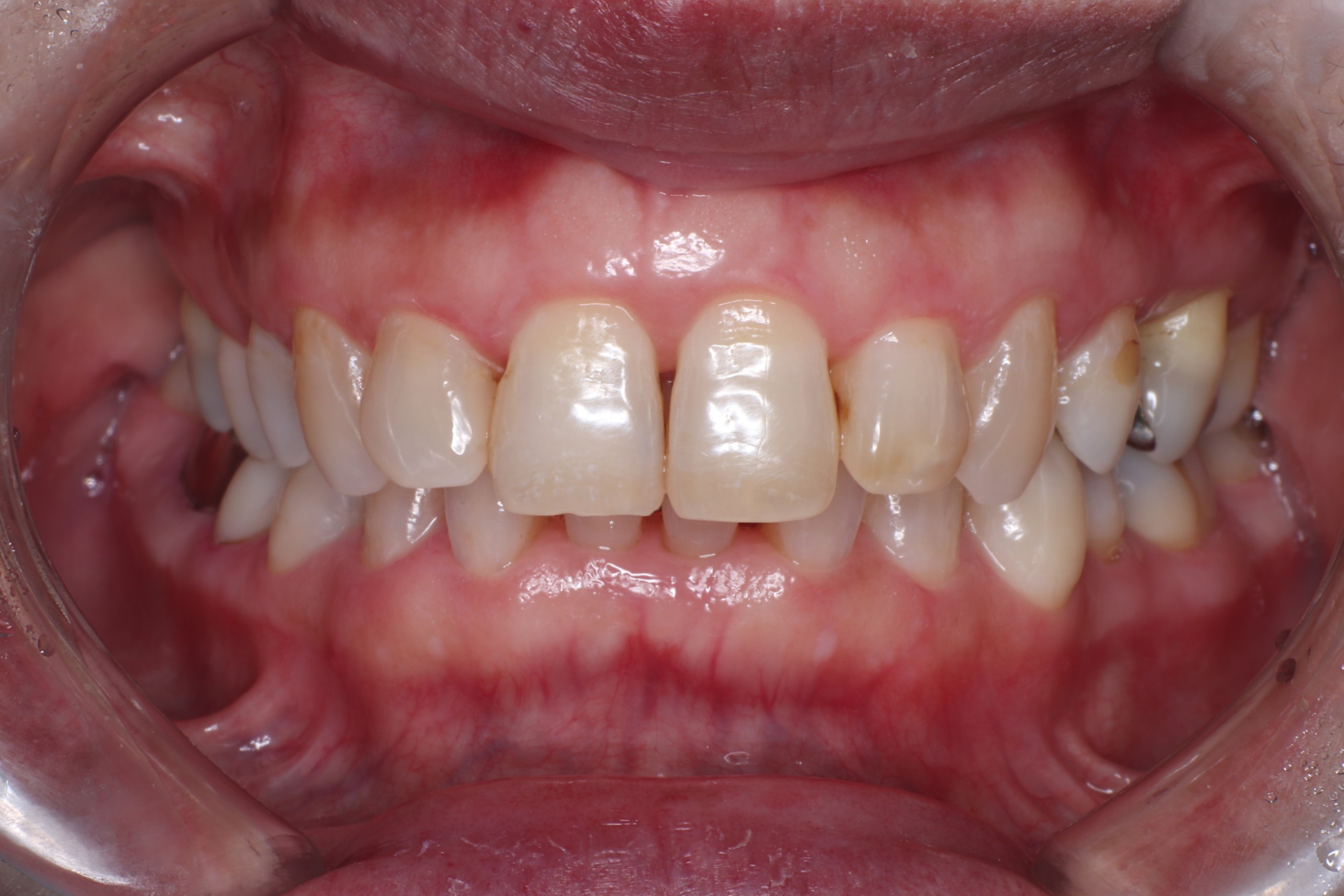
Before 歯周病治療 術前写真
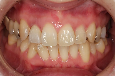
After 歯周病治療 術後写真

歯肉の腫れや発赤が見られた状態から、歯周外科治療(歯肉の切開など)を行わずに、歯周基本治療(歯みがき指導・歯石除去)のみで歯肉の炎症が改善したケースです。

治療内容
歯周基本治療(歯みがき指導・歯石除去・かみ合わせ調整)
費用
保険適用
リスク
歯周病は完治が困難なため、治療後も定期的なメインテナンスが必要です。
審美歯科

前歯のセラミック治療

Before 前歯のセラミック治療 術前
After 前歯のセラミック治療 術後

広範囲のむし歯をレジン樹脂で治療していた歯に、天然歯に似た色調と透明感を持つセラミッククラウンを装着。隣の歯に溶け込むような自然な仕上がりになりました。

費用
88,000円(税込)/ 1本
通院回数
4回
リスク
過大な噛む力で破折する可能性があります。二次むし歯予防のためプラークコントロールが必要です。
審美歯科

奥歯のセラミック治療

金属の詰め物の内側にむし歯が見つかり、口腔内スキャナーを使用した光学印象でジルコニアクラウンを製作・装着しました。

費用
88,000円(税込)/ 1本
通院回数
3回
患者
30代男性
リスク
食いしばりなどによるセラミック破折の可能性があります。
インプラント

インプラント治療

Before インプラント治療 術前
After インプラント治療 術後

歯科用CTで精密に診断し、理想的な位置にインプラントを埋入。セラミックによる上部構造を装着し、3か月で治療を終えました。

費用
385,000円〜 / 1本(税込)※術前の歯や骨の状態などにより変わります
通院回数
約10回
リスク
インプラント周囲炎のリスク、破損などの機械的トラブルが起きる可能性があります。
入れ歯

入れ歯治療(金属床)

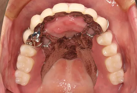
Before 金属床義歯 術前
After 金属床義歯 術後

前歯の歯周病が進行し、奥歯を支えるために金属床義歯を選択。精密な設計で噛む力でのガタつきやたわみを抑えた安定した入れ歯に仕上がりました。

費用
約380,000円(自由診療)
通院回数
約10回
患者
60代女性
リスク
壊れ方によっては修理が難しいことがあります。
歯の移植

親知らずの移植治療

歯を失った部位に親知らずを移植する治療です。当院では3Dプリンターでレプリカを作製し、歯の表面細胞を傷つけない工夫をしています。保険適用で治療が可能です。

費用
保険適用(3割負担で計 約20,000円)
通院回数
10回前後
リスク
成功率は移植後5年で80〜90%、10年で約73%です。
審美歯科

ホームホワイトニング

専用のマウスピースと薬剤を使って、ご自宅で歯を白くする治療です。薬剤濃度が低いため症状が出にくく、効果が長く続きやすいのが特徴です。

費用
上下いずれか 15,000円 / 上下両方 25,000円(税込)
追加ジェル 4,400円/本
通院回数
約3回(約2週間で効果が現れ始めます)
リスク
知覚過敏(しみやすくなる)が出ることがあります。無カタラーゼ症の方・妊娠中の方は治療できません。
審美歯科

ガムピーリング

歯ぐきに沈着したメラニン色素の黒ずみを薬剤で除去する処置です。先天的な原因や喫煙による黒ずみに対応できます。

費用
6,600円(税込・自由診療)
通院回数
処置後3日ほどで改善
リスク
処置時にヒリヒリした弱い痛みを感じることがあります。喫煙などにより数か月〜数年で再発する可能性があります。

治療に関するご相談はお気軽にお電話ください

お電話でのご予約・ご相談 0197-24-5418
0197-24-5418