プレオルソ(小児矯正)
お子さんのお口の機能発達をサポートする、
マウスピース矯正「プレオルソ」
「きれいな歯並び」は、
未来への贈りもの。
お子さんに、
こんな症状はありませんか?
- いつもお口がポカンと開いている(口呼吸)
- 食べ物をクチャクチャと音を立てて食べる
- 飲み込む時に舌が出る、頬に力が入る
- いびきや歯ぎしりがある
- 猫背気味で姿勢が悪い
「歯並びが悪い」原因は、「お口周りの筋肉の使い方の癖」や「口呼吸」にあることも多いと言われています。
ささき歯科医院では、単に歯を並べるだけでなく、これらの根本原因にアプローチする機能的マウスピース矯正「プレオルソ」による治療を行っています。
プレオルソとは?
プレオルソは、柔らかいシリコン素材でできたマウスピース型の矯正装置です。
従来のワイヤー矯正のように「物理的な力で歯を動かす」のではなく、「歯並びを悪くしているお口の筋肉の使い方を治す」ことで、お子さんが本来持っている正しい成長を促し、自然と歯が並ぶスペースを作っていきます。
※すべてのケースでワイヤー矯正が不要というわけではありません。
より専門的な診断・治療が必要と思われる場合は、信頼できる専門医の先生をご紹介することもあります。
当院での治療例
反対咬合(受け口)の6才のお子さんが、プレオルソによってかみ合わせが改善した例です。
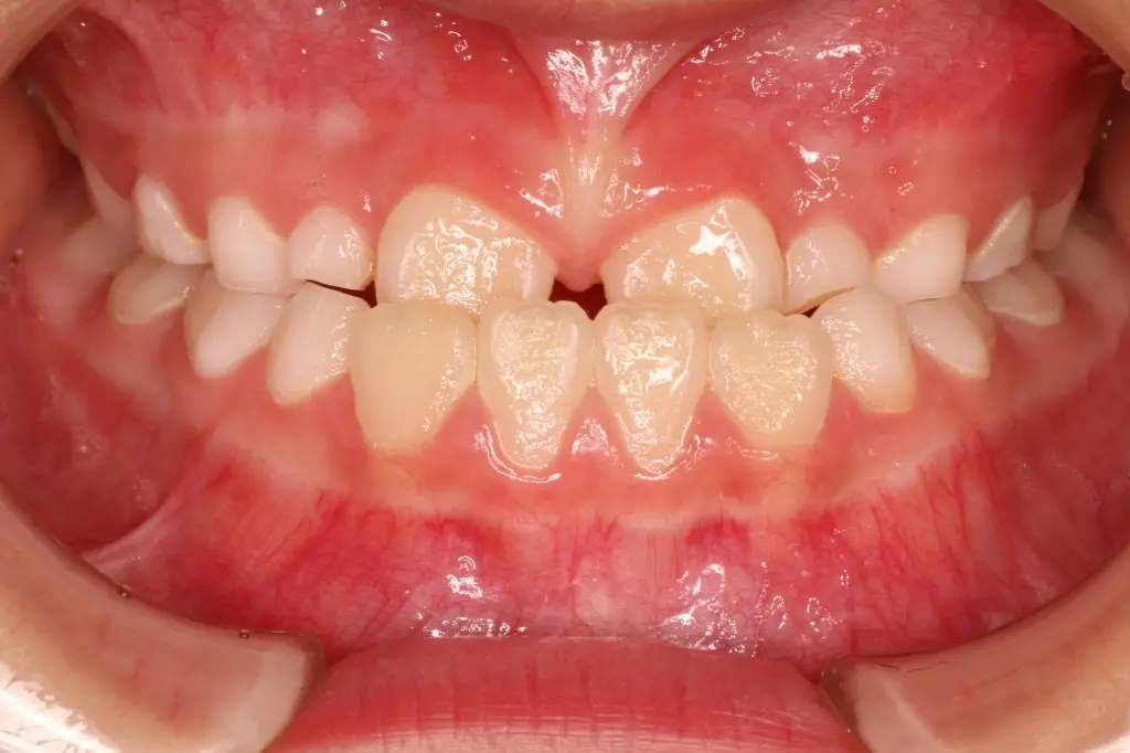
治療前(Before)
【治療開始時】
6才、下の前歯が上の前歯より前に出ている「反対咬合」の状態。顎の成長バランスが悪くなる恐れがありました。
6才、下の前歯が上の前歯より前に出ている「反対咬合」の状態。顎の成長バランスが悪くなる恐れがありました。
▶
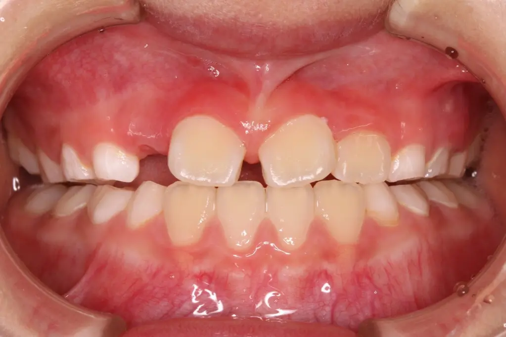
治療開始 8ヶ月後
【反対咬合の改善】
トレーニングと装置の使用により、上の前歯が前に出て反対咬合が改善しました。この後も治療・経過観察を継続していきます。
トレーニングと装置の使用により、上の前歯が前に出て反対咬合が改善しました。この後も治療・経過観察を継続していきます。
▶
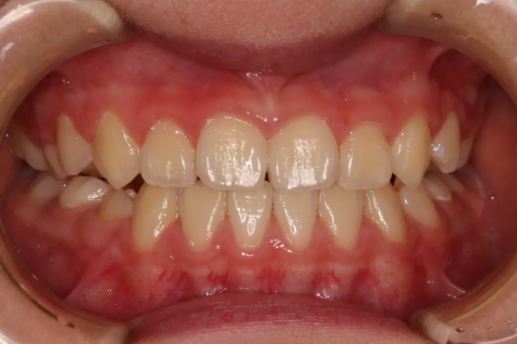
3年経過時
【安定と成長】
反対咬合の後戻りはなく、永久歯への生え変わりも順調です。顎も正しく成長し、安定したかみ合わせが続いています。
反対咬合の後戻りはなく、永久歯への生え変わりも順調です。顎も正しく成長し、安定したかみ合わせが続いています。
■ 治療費用¥77,000- (税込)
■ 治療のリスク・留意点
- 改善の度合いには個人差があります。
- また、お子さんや家族の治療への協力度(毎日の装着・トレーニング)にも左右されます。
- 思春期の成長次第では、反対咬合が再発するリスクがあります。
「お口の機能」の重要性
歯並びが遺伝だけで決まることはありません。舌の位置、飲み込み方、呼吸の仕方が正しい発達をしないまま成長すると、歯並びに悪い影響を及ぼすことが明らかになっています。
- 🟢理想的な状態
舌が上顎につき、鼻で呼吸している
→ 顎が広がり、歯がきれいに並びやすい - 🔴改善が必要な状態
舌が下がっている、口で呼吸している
→ 顎が狭くなり、ガタガタの歯並びになりやすい
プレオルソ矯正
5つのメリット
1. 痛みが少ない・嫌がりにくい柔らかい素材なので、従来の矯正装置のような痛みや口内炎の心配がほとんどありません。
2. 学校に着けていく必要なし装着時間は「日中の1時間」と「寝ている間」だけ。学校で友達に見られる心配がなく、給食や体育の時間も普段通り過ごせます。
3.「口呼吸」から「鼻呼吸」へお口周りの筋肉を鍛えることで、自然と口が閉じ、鼻呼吸が身につきます。風邪をひきにくくなるなど、全身の健康にも良い影響があります。
4. 後戻りしにくい歯並びが悪くなる「根本原因(筋肉の癖)」を改善するため、治療後の後戻りが少ないのが特徴です。
5. 将来の本格矯正が不要、またはシンプルになる顎の成長期に土台を整えておくことで、将来ワイヤー矯正が必要になった場合でも、抜歯をせずに短期間で済む可能性が高くなります。
治療の対象年齢とタイミング
推奨年齢:4歳頃〜11歳頃
(乳歯列期〜混合歯列期)
最適なタイミング
前歯が生え変わり始めた頃や、
6歳臼歯が生えてきた頃がひとつの目安です。
成長発育が活発なこの時期に始めることが、
最も効果的です。
当院での治療の流れ
1
相談・カウンセリング
お子さんの歯並びやお口の癖についてお悩みをお伺いします。
お子さんの歯並びやお口の癖についてお悩みをお伺いします。
2
検査・診断
お口の写真撮影、レントゲン撮影などを行い、適切な治療計画を立てます。
お口の写真撮影、レントゲン撮影などを行い、適切な治療計画を立てます。
3
治療開始(装着練習・MFT指導)
プレオルソの装着方法と、お家で行っていただくお口のトレーニング(MFT:口腔筋機能療法)を指導します。
プレオルソの装着方法と、お家で行っていただくお口のトレーニング(MFT:口腔筋機能療法)を指導します。
4
定期チェック(1〜2ヶ月に1回)
装置が正しく使えているか、お口の機能が改善しているかを確認し、調整を行います。
装置が正しく使えているか、お口の機能が改善しているかを確認し、調整を行います。
よくあるご質問
何歳から始められますか?ベストなタイミングは?
対象年齢は4歳〜11歳頃ですが、特に乳歯と永久歯が混在する「混合歯列期」(6歳前後〜)が開始の目安として推奨されます。顎の成長が活発なこの時期に始めることで、より効果的に土台を整えることができます。
治療期間はどのくらいかかりますか?
お子さまのお口の状態や、毎日きちんと装着できているかによって個人差がありますが、一般的には1年〜2年程度が目安となります。歯並びが改善した後も、後戻りを防ぐために就寝時のみの使用を続けていただく場合があります。
装置のお手入れ方法は?
使用後は流水で汚れを洗い流し、食器用洗剤などで優しく洗ってください。熱湯は変形の原因になるので避けてください。毎日お口に入れるものなので、清潔に保つことが大切です。
装着中に痛みはありますか?
プレオルソは柔らかいシリコン素材なので、ワイヤー矯正のような痛みはありません。使い始めは違和感や、お口周りの筋肉が疲れるような感覚(筋肉痛のようなもの)や、人によっては歯が押されるような感覚があります。通常は1〜2週間ほどで慣れてきます。
もし装置を紛失したり、壊してしまった場合は?
新しいものに交換することができます(有償)。早めに当院までご連絡ください。
他の矯正方法(床矯正やワイヤー矯正)との違いは?
他の矯正が「装置の力で歯や顎を動かす」のに対し、プレオルソは「歯並びが悪くなる原因(口呼吸や舌の癖)を治すことで、お子さま自身の成長する力を引き出す」点が最大の違いです。根本原因にアプローチするため、後戻りがしにくく、将来的な抜歯リスクを減らせる可能性が高まります。
保険は適用されますか?医療費控除は?
プレオルソによる治療は自費診療(自由診療)となり、健康保険は適用されません。ただし、発育段階にあるお子さまの矯正治療は医療費控除の対象となるケースが一般的です。領収書は大切に保管し、確定申告の際にご確認ください。
お子さんの歯並び・お口のクセに関するご相談は
お気軽にお電話ください