0197-24-5418 お電話でのご予約

院長ブログ

歯が削れてる?これってむし歯?

さて、写真のように歯の付け根が欠けたようになっているのを、見たことはありませんか?👀

NCCLの臨床写真

見た目が気になったり、冷たいものがしみる、歯ブラシを当てると痛い などをきっかけに歯科を受診される方もしばしばいらっしゃいます。

専門的にはNCCL(NonCarious Cervical Lesions=非う蝕性歯頚部歯質欠損)と呼ばれています。

「むし歯ではないけど、歯の付け根の一部が欠けていますよ」って意味です。

とはいえこのNCCL、油断はできません。場合によっては歯の寿命に影響することもあるので、解説しますね。

なぜできるの?

実は完全には解明されていません(◎_◎;)

現在は「歯みがき粉を使った不適切な歯みがきによって削れている」説が有力とされています。

~ここから下はちょっとマニアックな話なので、興味がない人は飛ばしてください~

以前は「咬む力によるストレスで欠けてくる」という説が支持されていました。

歯の付け根には、咬む力の影響はないように思えますが、これは消しゴムを想像すると分かりやすいです。

こすって消す部分は当然すり減ってきますが、そこから離れた場所がひび割れたりした経験は誰でもあるのではないでしょうか?それと同じ理屈です。

この力の負担によって歯の表面が欠けてくるメカニズムのことを「アブフラクション」と呼びます。

患者さんのお口の中を見ていても、咬む力の非常に強い患者さんや、歯ぎしりに参加していたりして、負担の大きそうな歯でよく見られる印象があります。

多くの歯医者は自然にこのイメージを持っていたため、「アブフラクション説」は、少なくとも30年近く支持されてきました。

しかし、近年の研究によるとアブフラクションによってNCCLが生じるというのは根拠に乏しく、歯ブラシによる摩耗(すりへり)によるものだ という説が有力視されるようになり現在に至ります。

歯には様々な方向から違った力の負担がかかりますし、その度合いも個人差が大きいです。

また歯みがきの習慣や習慣的にお口に入るものなど、色々な個人差が歯に影響を与えるため、いまだに原因がはっきりしない現象もあるんですね(・_・;)

放置すると問題はある?

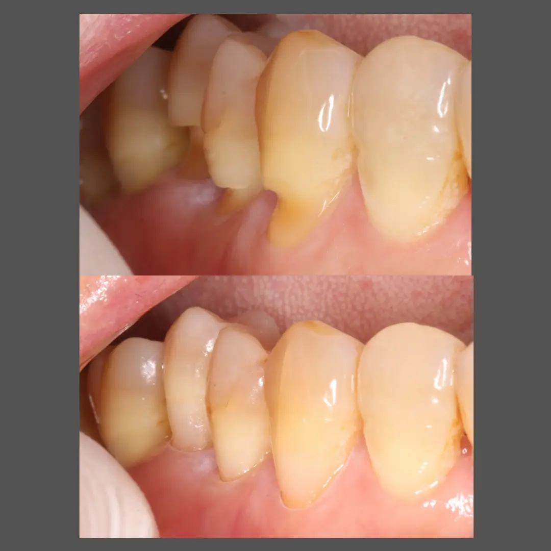
以下の場合は、写真のようにレジン充填による修復を行うことが一般的です。

レジン充填による修復
  • 冷たいものがしみたり、歯ブラシなどによる痛みがあるとき
  • NCCLが深いとき
    (歯みがきをしやすくするためと、NCCLの進行によって神経まで到達してしまうと、歯の寿命が短くなるためです)

このような治療であれば、歯を削る必要はほとんどありません(゜_゜>)

NCCLがまだ小さく、症状もない場合は、経過を見ることも多いです。

その場合は進行しないようにするため、以下の点に注意が必要です。

  • ☑ 研磨成分がたくさん入っている歯みがき粉を使っている
  • ☑ 硬い歯ブラシを使っている
  • ☑ 歯みがきを力強く行っている

これらに当てはまる場合は、NCCLの進行や、歯ぐきが下がってしまう(歯肉退縮)のを招いてしまうため、歯科医院でチェックしてもらうことをおすすめします👀

まとめ

  • 歯の付け根の欠けはNCCLと呼ばれ、むし歯とは異なる仕組みで生じます
  • その度合いや症状の有無によって、レジン充填などの修復治療が必要なことがあります
  • 原因は不適切なブラッシングによるものと言われていますので、日々のブラッシング習慣についてチェックしてもらうことが重要です

ここまで読んでいただいてありがとうございました(.. )

← 前の記事 次の記事 →
ブログ一覧に戻る

治療に関するご質問・ご相談はお気軽にお電話ください

0197-24-5418 受付時間 9:00〜13:00 / 14:00〜18:00(木・日・祝休診)
0197-24-5418